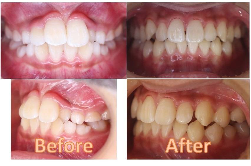
子どもの健やかな笑顔のために:小児矯正のガイドライン
2026/01/07
治療の仕組み
治療内容は非常にシンプルで、「床装置(しょうそうち)」と呼ばれる取り外し式の装置をお口に装着します 。これにより、お子さまの顎の骨が正しく発育するよう促し、永久歯が適切な位置に生えてくるスペースを確保します 。
- 使用時間の目安: 眼鏡のように取り外しが可能ですが、1日中着ける必要はありません 。
- 装着のタイミング: 睡眠時間+在宅時間の「1日約12時間」の装着で効果が期待できます 。
治療のステップと費用について
小児矯正は、お子さまの成長段階に合わせて大きく2つの時期に分けられます 。
- 前期治療(6~9歳頃): E床装置を使用し、土台となる顎の成長を促します 。
- 後期治療(10~12歳頃): 6床装置を使用し、永久歯の萌出をコントロールします 。
値段
小児矯正治療費
総額 |
|---|
484,000円 |
項目 | 費用 | 内容 |
|---|---|---|
E床装置 | 176,000円 | 乳歯番Eがある時期に用います。概ね6~9歳頃の前期治療に使われます。 |
6床装置 | 176,000円 | 歯番6が萌出し終えた頃に用います。概ね10~12歳頃の後期に使われます。 |
補助装置等 | 132,000円 | 部分ブラケット装置やエシックス装置など症例ごとに選択して用います。使用しない場合は、この費用はかかりません。 |
期間・回数
治療期間や来院回数
治療期間 | 4年5カ月(53カ月) | 備考:治療開始時期が遅ければ治療期間は短くなります。ただし、治療効果が出にくくなります。 |
|---|---|---|
来院回数 | 46回(約1.2カ月に1回) | 備考:むし歯治療やクリーニング施術を一般歯科(保険診療)で受けることも可能です。そうすると、当院への来院回数や窓口負担が軽減できます。 |
- 初診料・再診料・クリーニング代などは別途必要です 。
- 通院回数には検査・説明・クリーニング等を含みます 。
小児矯正における重要な注意点
1. 「いつでもできる」わけではありません
小児矯正は「乳歯列期」または「永久歯への生え変わり時期」にのみ可能な治療です 。永久歯がすべて生え揃った後や、中学生・高校生になってからは、この治療法は適応外となります 。 第2次成長期に入ってから小児用の装置を使うと、かえって顎の成長を妨げる悪影響を及ぼす恐れがあるため、年齢制限は厳守する必要があります 。
2. 18歳以降に再治療が必要な場合も
小児矯正で12歳までにすべてを確定させることは難しく、成人期に再度矯正が必要になるケースもあります 。しかし、小児期に土台を整えておくことで、将来的な治療負担を圧倒的に抑えることが可能です。大人になって「矯正歯科にいったら、抜歯が必要でなおかつ別の病院ですることになった」という事例は少なくありません。成人矯正の負担(抜歯の可能性や治療期間・成人矯正の費用)を大幅に軽減できるメリットがあります。
3. お子さま本人の協力が不可欠
装置は取り外しができるため、「正しく使い続けること」が治療結果に直結します 。慣れるまでは保護者さまのサポートも必要ですが、スタッフが丁寧にレクチャーしますのでご安心ください 。
まずはLINEで無料相談から
小児矯正は「早めのご相談」が鍵となります 。
「4歳ですが、今のうちに何かできることは?」といったご相談をいただくこともありますが、当院では適切な開始時期を見極め、「6歳になり、学校生活に慣れた頃にご相談ください」と誠実にお答えしています 。
「精密検査の費用が心配」
「子どもを連れて行く時間がなかなか取れない」
そんな方は、ぜひ当院のLINE無料相談をご活用ください 。数多くの症例経験を持つ専門スタッフが、来院不要でお悩みにお答えいたします 。




