むし歯治療の大原則!はやい、きれい、長持ちする
2025/10/02
SDIのRiva Cem Automixがスゴイ!
お子さまへのむし歯治療の代名詞「グラスアイオノマーセメント」の進化が止まりません!
今回注目するのは、SDI社から登場した「Riva Cem Automix」。
これ、ただのセメントじゃないんです。
鍵は「ionglass™テクノロジー」!
このセメントの最大の秘密は、独自開発されたionglass™(アイオングラス)テクノロジーという革新的な技術。 簡単に言うと、特殊なガラス粒子が狙ったタイミングでイオンを放出し、セメントの成分をガッチリと「架橋(クロスリンク)」させるんです。
このハイテクな仕組みのおかげで、従来のセメントと比べて…
✨ 色調が長持ちする安定した審美性!
という、まさに夢のような性能を実現しています!
GC グレースフィルバルクフロー
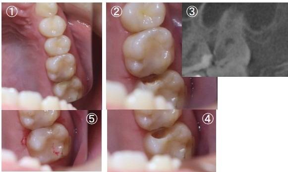
大人のむし歯治療で頻繁に使用される「プラスチック製の詰め物」。
進化型インジェクタブルレジンの決定版として現在使用されているのがグレースフィルシリーズのバルクフローです。コンポジットレジン修復(CR充填)の確実なライニング材として生まれ、MI(最小限の介入)の考え方を体現する素材です。
これまで、詰め物の治療では材料と歯の間にわずかなすき間(コントラクションギャップ)ができることが問題となってきました。この新しい材料は、縮みにくいため(変化量3%以下)のため、歯と材料にすき間ができにくく、治療後の知覚過敏と二次カリエス(むし歯の再発)リスクを低減できます。
とくに、バルクフローは1度にむし歯の深い部分にまで一気に材料が固まる特徴があり、奥歯の複雑なむし歯の穴を瞬時にコーティングしてくれるのです。流れ込む際は水のように歯の細かな傷に馴染むため、患者さんの天然の歯に近い色調を自然と再現できます。
特徴まとめ
金属を使わずにむし歯治療を終える!
1.驚異的な曲げ強度
グレースフィルバルクフローは、インジェクタブルレジンとしては173Mpaという高い曲げ強度を示しており、従来の「インジェクタブルレジンの治療はすぐ壊れる」という認識を覆す強さがあります。
2.低重合収縮率と操作性
光硬化深度最大4㎜と、深いむし歯でも機能するだけでなく、重合収縮率は3%以下のためコントラクションギャップ発生を防ぎます。結果として、むし歯をとりきった深い底面から咬合面までを一括成形(バルクフィル)できるのが特徴です。
3.幅広い応用が期待
ライニング材としてメタルインレーからオールセラミックスまで対応可能で、もちろんコンポジットレジン修復でも活躍します。近年は支台歯の隔壁としての利用も始まっており、適応範囲はますます拡大している注目の充填材です。



